南京森贝伽生物科技有限公司品牌商

11

手机商铺

qrcode
商家活跃:
产品热度:
  • NaN
  • 0
  • 0
  • 2
  • 2
品牌商

南京森贝伽生物科技有限公司

入驻年限:11

  • 联系人:

    森贝伽生物

  • 所在地区:

    江苏 南京市

  • 业务范围:

    试剂、技术服务、耗材、细胞库 / 细胞培养

  • 经营模式:

    经销商 生产厂商

在线沟通
推荐产品

组织保存液

品牌:Biochannel

¥450

咨询

Medium 199培养基

品牌:南京森贝伽生物科技

¥70

咨询

DMEM (高糖)

品牌:南京森贝伽生物科技

¥70

咨询
查看全部产品

公司新闻/正文

如何正确查看细胞状态?

420 人阅读发布时间:2024-02-01 10:36

健康的细胞长什么样呢?

首先我们先区分死细胞和活细胞。


如何正确查看细胞状态?

在显微镜下观察:活细胞中间透亮,饱满,有光泽,死细胞较暗。

最常用方法是台盼蓝染色排除法。其原理是:许多酸性染料不容易穿过活细胞的质膜进入胞内,却能渗入死亡的细胞内,使其着色,以此来鉴别死活细胞。

细胞根据细胞生长形态主要为贴壁型及悬浮型。贴壁型细胞贴附在支持物表面生长,只依赖贴附才能生长的细胞叫做贴附型细胞,这种现象与细胞分化有关。悬浮型不贴附在支持物生长,胞体圆形,在培养液中生长空间大,可长时间的生长,繁殖旺盛便于做细胞代谢研究。

 

贴附型细胞的分型


如何正确查看细胞状态?

成纤维型细胞:细胞是双极或多极细胞,呈细长的 形状,并附着在基质上生长。它具有较强的分裂增殖能力,适应性强,是最容易培养的动物细胞类型之一。


如何正确查看细胞状态?

上皮型细胞:细胞呈多边形,尺寸更规 淋巴母细胞样细胞呈球形,通 则,并附着在基质上分呈散在斑 常悬浮而不附着于表面生长。片状生长。


如何正确查看细胞状态?

游走型细胞:在支持物上散在生长,不连接成片,胞质伸出伪足或突起呈活跃的游走或变形运动,速度快不规则, 密度大连接成片呈多角形不易与其他类型的细胞区别。


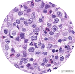
如何正确查看细胞状态?

多形细胞型:无规律的形态,如神经组织的细胞等,难以确定它们规律的形态,可统归人多形型细胞。(图为淋巴瘤样丘疹病中大的多形性细胞)

 

那您的细胞应该长成什么样呢?

不少客户在向我们咨询时会有这样的疑问,为什么你们的细胞和我养的细胞长得不一样。比如同样是Hela细胞,都是来自不同对国内外认可度比较高的细胞库,但细胞形态都有一定差距,这是为什么呢?

细胞如果分别保存在不同实验室,由不同的实验员,用不同的试剂培养,经过一段时间,必然会有差异,但只要本质(基因水平)不变,那都应该被认可。所以想要从细胞形态来确认细胞类型是不建议的,最可靠的还是做个STR鉴定来鉴别。

除了查看(www.sbjbio.cn)外,我们还可以查询以下渠道了解您所需要查询细胞的信息:

国际知名的细胞资源信息查询网站:

中国科学院细胞库:https://www.cellbank.org.cn/

中国典型培养物保藏中心:http://cctcc.whu.edu.cn/

ATCC:https://www.atcc.org/cell-products#t=productTab&numberOfResults=24

国家科技资源共享服务平台:http://www.cellresource.cn/

日本JCRB细胞保藏中心:https://cellbank.nibiohn.go.jp/english

瑞士生物信息研究所:https://www.cellosaurus.org/

上一篇

热烈祝贺生航生物荣获“高新技术企业”认定!

下一篇

常见细胞癌症模型及细胞株介绍(第1期)

更多资讯

我的询价